放射線診療部
| 電話番号 | 042-346-2190 |
|---|---|
| 内線 | ------ |
| 受付時間 | 9:00~15:00 |
|---|---|
| 休診日 | 土日、祝祭日、年末年始 |

当院の放射線診療部は、3TのMRI機器やSPECT-CT装置、PET-CT装置、サイクロトロンなどの最新の診断医療機器を使用し、精神・神経・筋疾患の高度先進医療と臨床研究を行っています。
院内外のカンファレンスや研究会に積極的に参加し、大学院生の学位論文指導も行っています。
2017年度には24本の英語論文を発表し、最先端の画像研究を行っています。
スタッフ
-

佐藤 典子 部長
- 経歴
- 群馬大医 1987年卒
- 専門分野・資格
- 神経放射線/放射線科専門医、第一種放射線取扱主任者、PET核医学認定医
-

木村 有喜男 医長
- 経歴
- 秋田大医 2004年卒
- 専門分野・資格
- 神経放射線/放射線科専門医、核医学専門医、日本医学放射線学会研修指導者
-

重本 蓉子 医員
- 経歴
- 大分大医 2008年卒
- 専門分野・資格
- 神経放射線・核医学/放射線診断専門医、核医学専門医、PET核医学認定医
-

加賀谷 理紗 医員
- 経歴
- 秋田大医 2017年卒
- 専門分野・資格
- 神経放射線/放射線診断専門医
| レジデント | 経歴 | 専門分野・資格 |
|---|---|---|
| 齊藤 良都 | 東京医科大学 2020年卒 | 放射線科専門医 |
| 守田 裕一 | 信州大学 2019年卒 | 放射線科専門医 |
部長以下医師5名、診療放射線技師10名、研究補助員1名、事務1名により構成されています。
■資格認定(技師)
・第1種放射線取扱主任者 1名
・衛生工学衛生管理者 1名
・MRI専門技師 1名
・核医学専門技師 2名
・CT肺がん検診専門技師 1名
・医療情報技師 1名
・救命救急士 1名
・放射線管理士 1名
・放射線治療専門技師 1名
・医学物理士 1名
・PET研修セミナー履修 7名
・放射線医薬品ガイドライン講習受講 3名
・塩化ラジウム(Ra-223)RI内用療法における安全取扱講習受講 1名
・ルテチウムオキソドトレチオ注射液を用いた核医学治療の安全取り扱い講習受講 1名
・3-ヨードベンジルグアニジンを用いた治癒切除不能なPPGLに対する核医学治療の安全取り扱い講習受講 1名
・検診マンモグラフィ撮影認定放射線技師 1名
受付 MRI部門

各医学部門 一般・CT部門

読影室

診療実績
| Ⅹ線撮影 | CT | MRI | 核医学 | PET | X線透視 | 骨塩定量 | |
| 2020年度 | 4799 | 4840 | 5509 | 1724 | 381 | 290 | 1005 |
| 2021年度 | 5142 | 6475 | 6028 | 2361 | 477 | 465 | 1253 |
| 2022年度 | 5322 | 6817 | 6182 | 2467 | 356 | 482 | 1369 |
| 2023年度 | 5572 | 6352 | 6329 | 2309 | 377 | 469 | 1694 |
| 2024年度 | 5473 | 6536 | 5974 | 1985 | 359 | 324 | 1494 |
核医学検査は主に脳血流検査(ECD)DAT検査、MIBG検査を行っています。MRI検査、核医学検査、PET検査は、外部診療機関からも依頼があり今後も多くの検査依頼に対応できるように体制を整備していきます。
外部機関から検査を依頼される方は、画像検査のご依頼についてをご覧ください。
保有装置一覧
| 用途 | 装置名 | 取得月日 |
| CT撮影 | SIEMENS社製 SOMTOM Defintion AS64 eco | 2017年9月 |
| X線撮影 | 島津社製 RAD speed Pro | 2010年9月 |
| X線透視撮影 | 日立社製 CUREVISTA | 2010年9月 |
| 骨塩定量検査 | HOLOGIC社製 Horizon Wi | 2018年10月 |
| X線撮影 | GE社製 Discovery XR656 | 2014年3月 |
| MRI撮像 | SIEMENS社製 MAGNETOM Verio | 2010年9月 |
| MRI撮像 | PHILIPS社製 Achieva 3.0T TX | 2010年9月 |
| 核医学検査 | SIEMENS社製 SymbiaT6 | 2010年9月 |
| 核医学検査 | GE社 Discovery NM/CT670 | 2015年6月 |
| PET検査 | SIEMENS社製 True Point Biograph16 | 2010年9月 |
| 血管撮影 | PHILIPS社製 Allura Xper FD20 | 2010年9月 |
| 外科用イメージ | SIEMENS社製 SIREMOBIL Compact LX | 2007年3月 |
| ポータブルX線撮影 | 日立社製 シリウス130HT | 2007年2月 |
| ポータブルX線撮影 | 日立社製 シリウス130HT | 2007年2月 |
| ポータブルX線撮影 | 富士フィルム社製 シリウス Starmobil tiara | 2021年10月 |
| サイクロトロン装置 | 住友重機械工業社製 HM-20 | 2011年3月 |
| 歯科撮影 | ヨシダ社製 X-ERA SMART | 2018年9月 |
| 歯科撮影 | 朝日社製 MX-60N | 2004年2月 |
臨床活動
てんかん術前カンファレンス

特殊な中枢神経疾患に対して適切な画像診断を行うため、診療科と連携の上、各症例に合った最適な撮影法を調整しています。画像の読影は神経放射線のスペシャリストにより行われ、部内で積極的に討論を行うことで報告書を作成しています。また、精力的に院内の各種カンファレンスに参加することで診断・治療レベルの向上に力を尽くしています。
参加している院内カンファレンスリスト
| 月 | 遺伝勉強会 |
| 火 | 病院臨床検討会 |
| 水 | ・NCNP Radioligy Conference |
| ・ウィークリーカンファレンス | |
| ・画像リサーチカンファレンス | |
| ・脳神経外科リサーチカンファレンス | |
| 木 | ・てんかん外科症例カンファレンス |
| ・てんかん術後病理カンファレンス | |
| ・CPCカンファレンス | |
| ・統計的知識講座 | |
| 金 | てんかん術前カンファレンス |

広範囲な脳形成異常の範囲の術前マッピング(カンファレンスに使用)
参加している臨床研究会・カンファレンスリスト
NR懇話会、都立神経病院カンファ、NIRC、Neuroradiology Club、SSIC、MR Retroscopy研究会、Body CT研究会、小田急カンファ、東京レントゲンカンファ)
一般およびCTなど
一般撮影

透過するX線を照射することで画像化し、様々な病気の診断をするための第一段階として行われています。当院では、パーキンソン病やそれに疑われている患者さんに対して専用の撮影方法(首曲がり・腰曲がり撮影)を行っており、患者さんの骨や関節の状態をより詳細に把握する様工夫しています。また、整形外科領域で画像を主に使用している断層撮影(トモシンセシス)も行うことが出来ます。
CT検査

当院では64列マルチスライスCT
(Computed Tomography)が稼働しています。頭部や胸部、腹部などの臓器検査だけでなく、全身の筋肉量の評価を行うことが出来る、骨格筋CT検査も数多く行っております。
骨塩定量測定検査

骨塩定量測定とは、骨を構成しているカルシウムなどのミネラル類の量を測定する検査です。主な検査部位は腰椎や大腿骨頸部ですが、当院では体組成測定が出来ることから全身の骨密度測定も非常に多く行われています。
X線透視検査

X線を使用して体内を透視し、その様子をTVモニターで観察しながら撮影する検査です。リアルタイムで体内の画像を動画として観察できます。当院では嚥下造影検査を多く行っています。また、整形外科領域では、ミエロ撮影や、関節整復時検査を行っています。
血管撮影検査

血管造影撮影とは、透視下でカテーテルという長い管を血管の中に入れていき、血管内に造影剤を入れて調べる検査です。血管の中を造影剤が流れていく様子を連続撮影します。当院では脳腫瘍の術前検査やてんかんの手術前に優位半球を判定するために和田テストを行っています。
MRI検査
MRI検査
MRIとはMagnetic Resonance Imagingの略であり、強力な磁力と電波を使用して体の様々な断面を観察することができる検査です。当病院では2台の3テスラMRI装置を使用して検査を行っています。どちらも32チャンネルのヘッドコイルを備えています。

シーメンス社製MAGNETOM Verio フィリップス社製 Achieva 3.0T TX
MRI検査の特徴は、電波の発生方法等を変化させることによりさまざまな画像を得ることができます。当院では全MRI検査の7割は頭部を占めております。脳梗塞をはじめ、てんかん・腫瘍・脱髄性疾患、その他の変性疾患などを診断することができます。さらに通常撮像に加え、検査目的に合わせてMRスペクトロスコピー、トラクトグラフィなどの検査の追加を行っています。また頭部だけでなく脊髄、脊椎、腹部・骨盤臓器、筋肉や末梢神経疾患も検査しています。
MRスペクトロスコピー(MRS)

リー症候群のLCModel解析
MRSは通常のイメージングとは異なり、生体内の分子の種類・成分をスペクトルとして得る検査です。スペクトルパターンの違いや特定の代謝物の検出により代謝性疾患などの診断や鑑別に活用されています。当院ではさらにLCModelという解析ソフトを使用することで再現性と定量性の高いデータを得ることができます。
トラクトグラフィ
トラクトグラフィとは白質神経線維の走行方向を可視化したものです。脳神経外科の術前評価に役立ちます。

カラーマップ トラクトグラフィ
VSRAD
VSRADとは早期アルツハイマー型認知症診断支援システムのことで、頭部3D-T1強調画像を撮像し、解析を行うことにより、海馬傍回などの部位の萎縮度を正常例と比較をする解析ソフトです。年齢別に正常データベースとの比較を行っており、認知症やてんかんなどの診断に利用しています。
その他、精密な画像撮影技術で各種疾患に特徴的な変化を描出し、診断に大きく貢献しています。

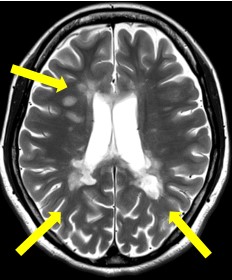
多発性硬化症(MS) 慢性炎症性脱髄性多発神経炎(CIDP)

脱髄性病変 T2協調像 腕神経叢のびまん性の腫大 STIR画像
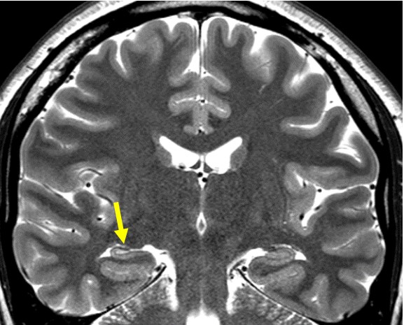
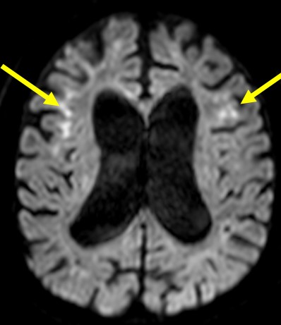
神経核内封入体病(NIID) 海馬硬化症

大脳の皮髄境界の高信号域 海馬の萎縮と高信号 T2強調像
拡散強調画像(DWI)
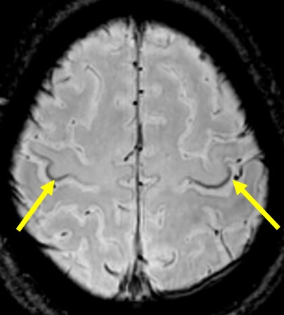
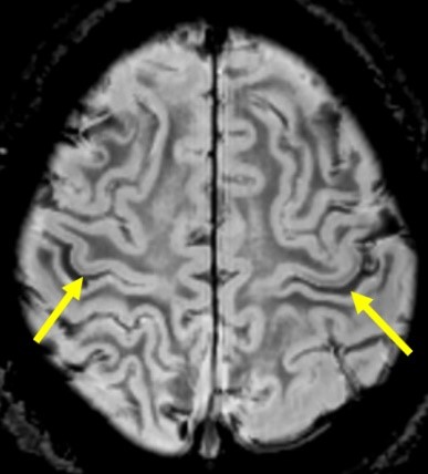
筋萎縮性側索硬化症(ALS) 筋萎縮性側索硬化症(ALS)

PADRE(位相差強調画像)での SWI(磁化率強調画像)での運動皮質
Zebraサイン の低信号
核医学検査
核医学検査とは多種ある画像検査の中でも特殊な検査で、放射性医薬品(放射性物質がくっついた薬品)を体に投与することで目的の臓器や組織の機能をみることができます。当院では病院の特性上、主に脳血流シンチ、心交感神経シンチ、DATシンチ、脳受容体シンチ、FDG-PET検査を多く行っています。また治験や臨床研究にてアミロイド-PET、タウ-PETも行っています。

脳血流シンチ
この検査は、脳血管障害や認知症の診断、またてんかんの焦点診断などで用いられます。当院で使用する放射性医薬品は99mTc-ECDというもので、薬品投与直後から30分程度で終了します。この検査で得られた画像から脳内の血流の分布状態を確認し、血流量を算出することができます。また画像統計解析ソフトを使用することで年代別で正常な方々との比較を行うことができます。

定性画像(分布状態) CTとのFusion画像
心交感神経シンチ
この検査は一般的には冠動脈疾患や心不全、褐色細胞腫等の交感神経由来の疾患に使用されます。しかし当院では神経疾患、特にParkinson病(多系統萎縮症・進行性核上性麻痺等との鑑別)やLevy小体型認知症(Alzheimer病等の他疾患との鑑別)の診断に用いられています。使用する放射性医薬品は123I-MIBGというもので、投与後10分後と3時間後にそれぞれ5分間の撮像を行います。
123I-MIBGは心臓の交感神経の機能・分布を反映して集まるため、算出された数値を評価することで先にあげた疾患の鑑別に有意義な情報を提供することが出来ます。

DATシンチ
この検査は、脳にある黒質線条体のドパミン神経の状態を視覚的にも把握できる検査です。この検査で使用する放射性医薬品は123I-ioflupane(商品名:ダットスキャン)で、前述のドパミン神経の終末部に高発現するドパミントランスポーター(以下DAT)に対し高い親和性を示すためSPECT画像ではDATの脳内分布を評価することができます。当院では投与後3時間後に30分程度の撮像を行います。パーキンソニズムをきたす疾患の鑑別に有用です。

脳受容体シンチグラフィ
この検査は、外科的な治療を必要とする難治性てんかん患者の方に対し、てんかんの焦点及び関連部位の同定に有用とされています。使用する放射性医薬品は123I-iomazenil(商品名:ベンゾダイン)で、当院では投与後3時間後に30分程度の撮像を行います。123I-iomazenilは、脳内の中枢性ベンゾジアゼピン受容体に対し高い親和性を示すためSPECT画像ではその受容体の分布を評価することができます。
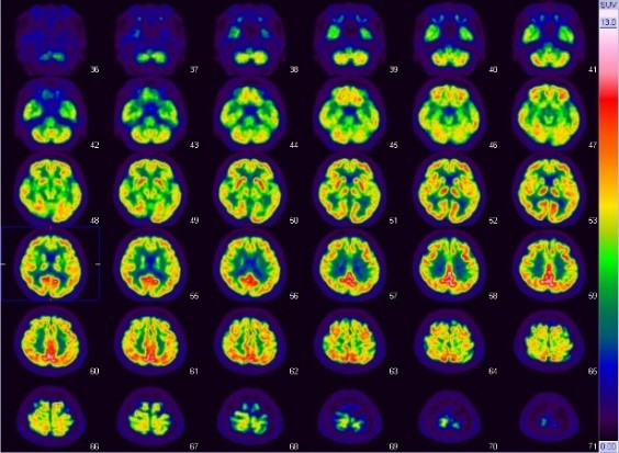
FDG-PET検査

この検査は、てんかんの病巣診断、心サルコイドーシスの診断、早期胃がんを除く全ての悪性腫瘍・悪性リンパ腫の診断等に有用とされています。当院では主にてんかんの方の検査を多く行っていますが、その他の上記疾患の検査も行っています。
使用する放射性医薬品は18F-FDGです。当院では投与直前から調光下で安静にベッドに横になっていただき、投与後は頭部検査では45分後から15分程度、全身では60分後から30分程度、心臓では全身の撮像後に15分程度の撮像を行います。
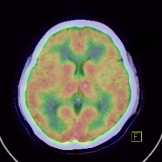
この検査は、アルツハイマー型認知症の代表的病理像である脳内のアミロイドβ蛋白の蓄積状態を画像化した画期的な検査で、当院では治験や臨床研究として行われています。アミロイドβ蛋白蓄積のある物忘れや軽度認知障害の方などは、今後アルツハイマー型認知症に進行する可能性があるため、発症前・早期診断や鑑別診断に有効と考えられています。

アルツハイマー型認知症 健常人
タウ-PET検査
この検査は、アルツハイマー型認知症におけるもう一つの代表的病理像であるタウ蛋白の蓄積を画像化したものです。こちらも当院では臨床研究として行っています。タウ蛋白はアミロイドβ蛋白と比べて認知機能とより密接に関連していることが分かりつつあり、創薬開発に向けて今後の検討が期待されています。